症例紹介〜肝臓腫瘍〜
- ブログ
- 症例紹介
今回は犬の肝臓腫瘍についての話です。
肝臓腫瘍は中年齢以降で比較的よくみられますが、よほど腫瘍が大きくなるか、出血などがない限り無症状なため、健診などで偶発的に見つかることが多いです。
わんちゃんで肝臓腫瘍が認められた場合、肝細胞癌と言われる悪性腫瘍が最も多いですが、その他には血管肉腫、組織球肉腫、また、結節性過形成と呼ばれる良性腫瘍も認められます。
特にこの肝細胞癌についてですが、病理組織学的には悪性腫瘍に分類され、巨大化することも多いのですが、その挙動は比較的大人しく、転移を起こすことは少ないため、完全切除により根治が狙える腫瘍となります。
この時期、健康診断で血液検査をすることも多く、実際に無症状でしたが血液検査で肝臓の数値の異常がみつかり、超音波検査により肝臓の腫瘍が発見される症例が続きました。
今回の症例は13歳のわんちゃん、女の子の例です。
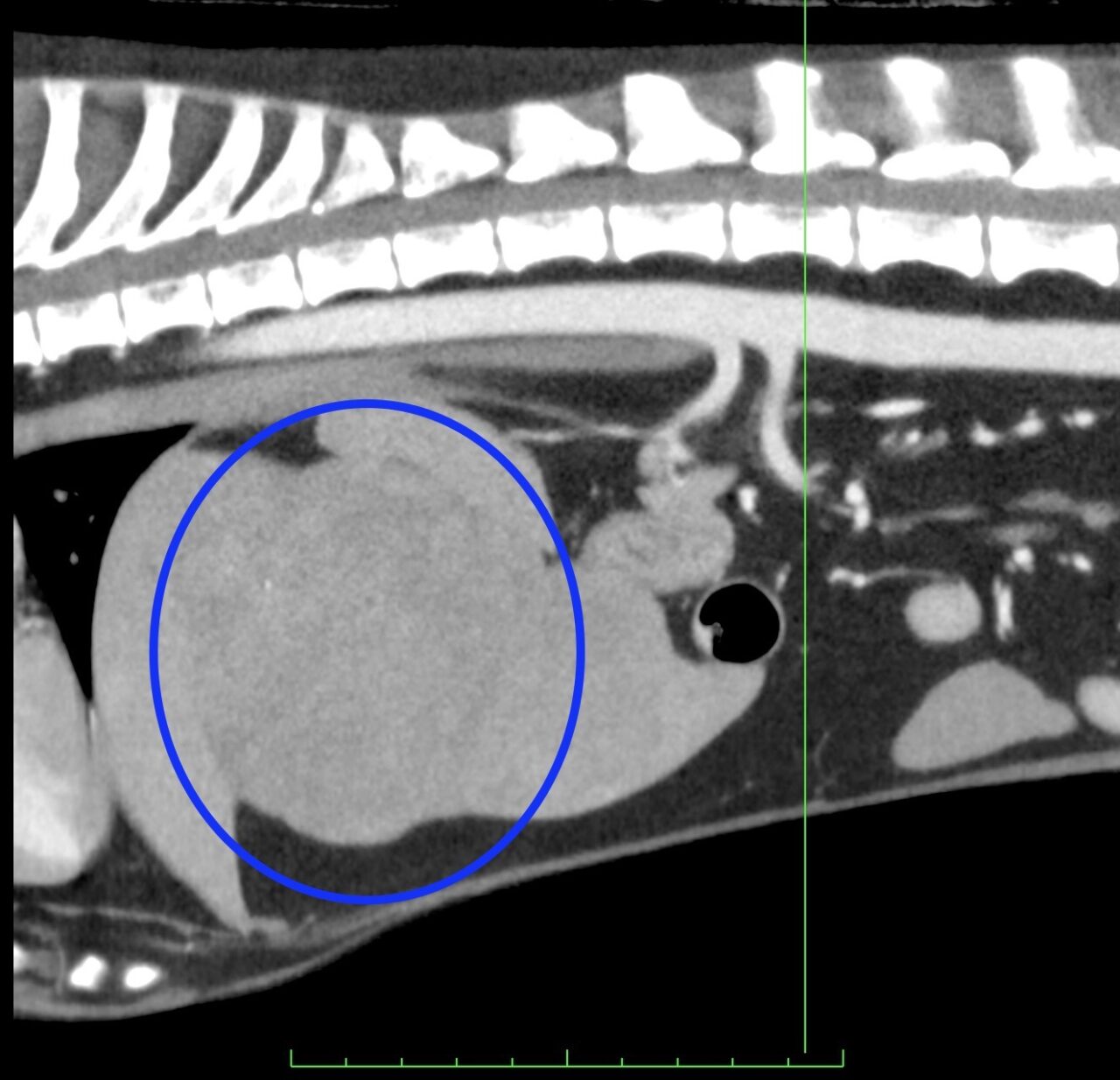
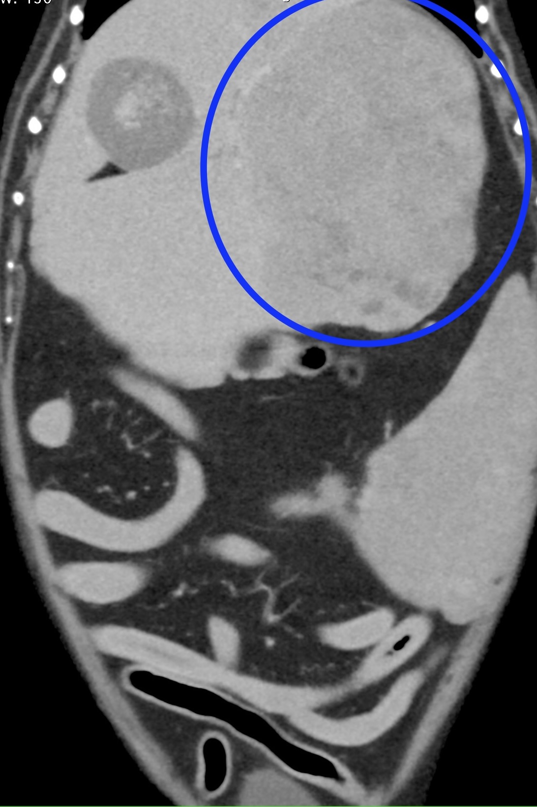
CT所見です。肝臓の左側に大きな塊状病変が認められます。
手術中の写真です。
腫瘍は肝臓の内側左葉から発生しており、肝葉切除を実施しています。
摘出した腫瘍は病理検査にて肝細胞癌と診断され、またマージンも明瞭とのことでした。
この子も術後の経過は良好で、他臓器への転移所見も認められないことから、根治といえます。
癌がみつかった場合、なかなか手術に踏み切れない飼い主さんも多いですが、腫瘍によっては根治も狙える場合もあるため、しっかり相談して判断できればと思います。
また、今回のように肝臓に腫瘍があっても症状が出ることは少ないため、定期的な健康診断を行うことでこのような腫瘍の早期発見につながることを願っています。











